Дентална Клиника Естетика

  • Начало
  • Клиника
  • Услуги
  • Галерия
    • Виртуален тур
    • Клинични случаи
  • За пациента
  • Контакти
  • Рентгенови лаборатории

Назад
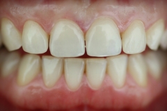
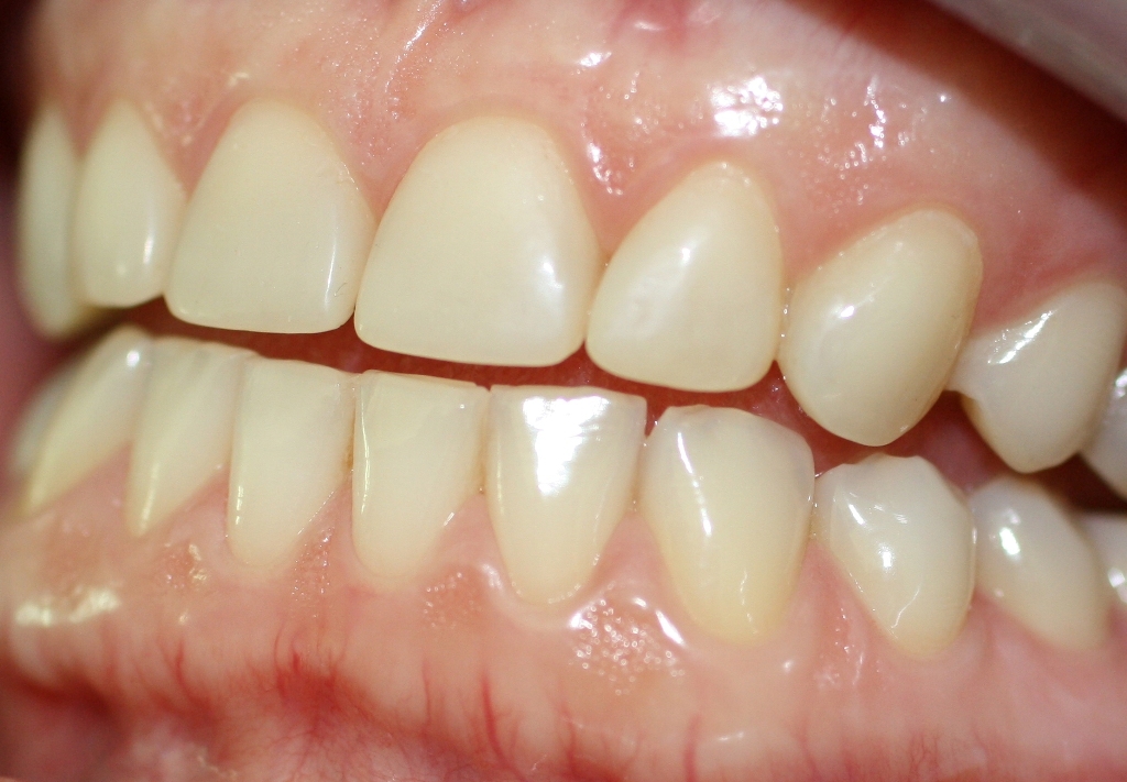
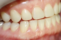
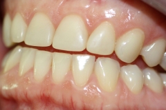
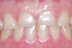
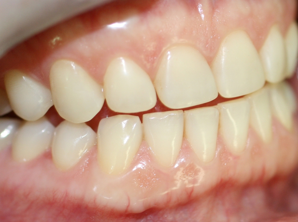
  • Бондинг – Директни естетични възстановявания »
  • Бондинг – 10
157d0deea0edb0f0
3718e3e35fca03a4
eee12a32b9171ba2
dd7550d75db788ab
fd12d4fa6cbf1c74

Дентална Клиника EСТЕТИКА

  • Facebook
  • X
  • Instagram
  • YouTube

За контакти

0898608260 | 02 925 00 44

Работно време: 08:00 – 20:00

Адрес: ж.к. Люлин 7, бл. 759

[email protected]

Designed & Developed by eng. I. Nikolov